
Neuromuskuläres Zentrum Zürich
Das Neuromuskuläre Zentrum am Universitäts-Kinderspital Zürich ist Teil der Abteilung Neuropädiatrie und die grösste Einrichtung dieser Art für Kinder und Jugendliche mit neuromuskulären Erkrankungen in der Schweiz.
Gemeinsam mit dem Universitätsspital Zürich bilden wir das Neuromuskuläre Zentrum Zürich und garantieren eine umfassende Diagnostik, Behandlung und Begleitung von Menschen jeden Alters mit Erkrankungen der Muskeln und Nerven. Die kosek (Nationale Koordination Seltene Krankheiten) hat das Neuromuskuläre Zentrum Zürich als Schweizerisches Referenzzentrum für seltene neuromuskuläre Krankheiten anerkannt. Das Neuromuskuläre Zentrum Zürich ist Mitglied im Referenznetzwerk Myosuisse.
Neuromuskuläre Krankheiten
Neuromuskuläre Krankheiten können Menschen in jedem Lebensalter treffen. Sie verlaufen oft chronisch und können zu körperlichen Einschränkungen führen und die Lebenserwartung verkürzen. Zu den neuromuskulären Krankheiten gehören Erkrankungen der motorischen Nervenzellen (Motoneuron-Erkrankungen und Neuropathien), Störungen der Signalübertragung vom Nerv auf die Muskulatur (Myasthenie und angeborene myasthene Syndrome) und die Erkrankungen der Muskulatur selbst (Myopathien, Muskeldystrophien).
Kinder und Jugendliche mit neuromuskulären Erkrankungen können eine verzögerte motorische Entwicklung zeigen, aber auch andere Symptome aufweisen wie z.B. Muskelschwäche, rasche Ermüdung, Muskelschmerzen, Lähmungen und Muskelschwund, Schwäche der Atmung oder der Mund-/Schlundfunktion. Manche Muskelerkrankungen werden durch auffällige Laborbefunde entdeckt (z.B. Erhöhung des Muskelenzyms CK).
Neuromuskuläre Erkrankungen gehören ausnahmslos zu den seltenen Erkrankungen. Im Kindes- und Jugendalter sind die Spinale Muskelatrophie (eine Motoneuron-Erkrankung) und die Duchenne Muskeldystrophie die häufigsten neuromuskulären Erkrankungen. Wie diese beiden Erkrankungen sind die meisten anderen neuromuskulären Erkrankungen im Kindes- und Jugendalter angeboren und haben eine genetische Ursache.
Behandlung / Therapien
Gemeinsam mit den betroffenen Kindern und Jugendlichen sowie deren Familien planen, organisieren und führen wir die oft komplexen Therapien entsprechend definierter «Standards of Care» und unter Berücksichtigung der individuellen Situation durch. Das Neuromuskuläre Zentrum Zürich ist darüber hinaus spezialisiert auf neue genetische Therapien und eines der führenden Zentren für Gentherapien bei neuromuskulären Erkrankungen im Kindesalter in der Schweiz.
Diagnostik / Abklärung neuromuskulärer Erkrankungen
Wir bieten sämtliche Untersuchungen an, die zur Abklärung von neuromuskulären Erkrankungen erforderlich sind. Hierzu gehören u.a.:
- Ärztliche neurologische und neuromuskuläre Untersuchung
- Labordiagnostik, einschliesslich metabolische Untersuchungen
- Belastungstests, z.B. NIFET (non-ischemic forearm exercise test)
- Neuromuskuläre Elektrophysiologie / ENMG-Sprechstunde
- Assessments motorischer Funktionen in Kooperation mit der Abteilung Therapien am Kinderspital Zürich
- Kardiologische Untersuchung, Lungenfunktionstestung, Schlaflaboruntersuchung
- Genetische Untersuchungen in Kooperation mit dem Institut für Medizinische Genetik der Universität Zürich
- Bildgebung wie z.B. Nervenultraschall, Muskel-MRI
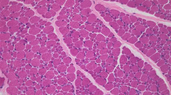
- Muskelbiopsien, Analyse durch das Institut für Neuropathologie am Universitätsspital Zürich
Unsere Sprechstunde
In der Sprechstunde des Neuromuskulären Zentrums wird Ihr Kind durch Fachärztinnen und Fachärzten mit Schwerpunkt Neuropädiatrie oder Neurologie betreut. Diese Fachpersonen haben langjährige Erfahrung in der Diagnostik und Behandlung neuromuskulärer Erkrankungen. Sie sind auch aktiv in der Erforschung neuromuskulärer Erkrankungen.
Wir arbeiten eng mit Spezialistinnen und Spezialisten aus verschiedenen Fachbereichen zusammen. Hierdurch können komplexe Fragestellungen ganzheitlich beurteilt werden und Entscheidungen zu Diagnostik und Therapie mit höchster Kompetenz getroffen werden. Unsere Sprechstunde wird daher oft interdisziplinär abgehalten, d.h. es werden bei Bedarf weitere Spezialisten zur Konsultation hinzugezogen, z.B. aus der Orthopädie, den Therapien (z.B. Physiotherapie, Ergotherapie), oder der Sozialberatung. Für besondere Fragestellungen wurden Spezialsprechstunden eingerichtet.
Die Sprechstunde des Neuromuskulären Zentrums ist oft mit einer Pflegesprechstunde verbunden, insbesondere bei schwer verlaufenden Erkrankungen. In unserem Neuromuskulären Zentrum arbeitet daher auch eine Pflegeexpertin (Advanced Practice Nurse), die auf das Care-Management bei Kindern und Jugendlichen mit neuromuskulären Erkrankungen spezialisiert ist.
Wenn immer möglich und gewünscht kombinieren wir unsere Sprechstunde auch mit weiteren erforderlichen Untersuchungen, z.B. Lungenfunktionstestung, kardiologische Untersuchungen, Bildgebung (Röntgen, MRI).
Neuromuskuläre Elektrophysiologie / ENMG-Sprechstunde
Elektrophysiologische Untersuchungen haben bei der Abklärung neuromuskulärer Erkrankungen eine grosse Bedeutung. Sie können Hinweise auf Art, Ursache und Schwere einer neuromuskulären Erkrankung liefern. Das Neuromuskuläre Zentrum am Universitäts-Kinderspital hat eine Expertise in der elektrophysiologischen Untersuchung von Kindern und Jugendlichen. Angeboten werden u.a. Elektroneurographien (ENG), Elektromyographien (EMG), Untersuchungen der motorischen Endplatte (stimuliertes Einzelfaser-EMG, repetitive Nervenstimulation), motorisch evozierte Potentiale (MEP) mittels Magnetstimulation.
Psychologische Sprechstunde
In der psychologischen Sprechstunde können eine psychologische Beratung und Unterstützung von Kind und Familie erfolgen und dabei helfen, Herausforderungen, die durch die neuromuskuläre Erkrankung eines Kindes bedingt sind, besser zu bewältigen. Die Betreuung gestaltet sich je nach Bedarf der Familie unterschiedlich und kann die Beratung des betroffenen Kindes, der Eltern und der Geschwister beinhalten.
Interdisziplinäre Spezialsprechstunden im Neuromuskulären Zentrum
Das Neuromuskuläre Zentrum bietet unterschiedliche Spezialsprechstunden an, in welchen auf besondere alters-, krankheits- oder pflegespezifischen Bedürfnisse gezielt eingegangen werden kann.
Skoliose-Sprechstunde
Gemeinsam mit Expertinnen und Experten aus unserer Kinderorthopädie und dem Wirbelsäulenzentrum der Universitätsklinik für Orthopädie Balgrist sowie den jeweils zuständigen Reha-Technikern evaluieren wir die Skoliose und therapeutischen Konsequenzen, wie z.B. eine Korsettbehandlung oder aufrichtende Massnahmen der Wirbelsäule.
Plexus-Sprechstunde
Gemeinsam mit Expertinnen und Experten der Handchirurgie am Kinderspital, der Hand- und Plexuschirurgie der Universitätsklinik Balgrist und des Kantonsspitals Aarau sowie unserer Physio- und Ergotherapie und Rehabilitationsmedizin beurteilen wir Symptomatik und erforderliche therapeutische Konsequenzen nach einer geburtstraumatischen Läsion des Plexus brachialis.
Arthrogrypose-Sprechstunde
Angeborene Einschränkungen der Gelenksbeweglichkeit und Fehlstellungen (Arthrogrypose) an mehreren Körperregionen beurteilen und behandeln wir in der Arthrogrypose-Sprechstunde gemeinsam mit Expertinnen und Experten aus unserer Handchirurgie, Orthopädie, Ergo- und Physiotherapie.
Jugend-Sprechstunde
Der Übergang vom Kind zum Jugendlichen geht mit bedeutenden Veränderungen einher – so werden besonders Selbstbestimmung und Selbstständigkeit immer wichtiger. Das ist für Jugendliche mit einer neuromuskulären Erkrankung besonders herausfordernd. Daher laden wir die Jugendlichen und ihre Eltern im Alter von 13-14 Jahren einmalig in eine separate Jugendsprechstunde ein. Dort werden wir mit den Jugendlichen und ihren Eltern die Themen Lebensqualität und Bildung – also Schule, Ausbildung und Lehre besprechen. Zudem stehen die psychosoziale Situation und das körperliche Wohlbefinden im Zentrum. Die Jugendsprechstunde befindet sich im Aufbau und startet voraussichtlich im Jahr 2026.
Transitions-Sprechstunde
Um den Patientinnen und Patienten sowie ihren Angehörigen einen reibungslosen Übergang in die Erwachsenenmedizin zu ermöglichen, erfolgt mehrmals im Jahr gemeinsam mit dem Neuromuskulären Zentrum am Universitätsspital Zürich die Transitionssprechstunde.
Unser Kontakt
Die Zuweisung in die Sprechstunde des Neuromuskulären Zentrums erfolgt durch Ihre Kinderärztin oder Ihren Kinderarzt.
Wir sind telefonisch für Sie erreichbar:
Montag bis Freitag: 8.30 - 11.30 Uhr und 13.30 - 16.30 Uhr
Dispo Neuromuskuläres Zentrum
- Anfragen zu Terminen (Vereinbarungen/ Verschiebungen)
- Anfragen zu Rezepten, Verordnungen
Office Neuromuskuläres Zentrum
- Zuweisungen
- Berichts-/ Befundanfragen
- Versicherungsanfragen
Unser Team
Dan & DMD
Dan ist ein kleiner Junge, und er hat Duchenne Muskeldystrophie. Was ist das genau und wie lebt er damit?
Hast du schon mal von Duchenne gehört?
Du hast Duchenne Muskeldystrophie? Wir erklären dir, was das genau bedeutet und wie du trotzdem alles machen kannst, was gesunde Kinder auch können.
News aus dem Neuromuskulären Zentrum

Neuromuskuläres Symposium: Duchenne Muskeldystrophie
